子どもの歯と口の健康(前期)
乳歯のむし歯
乳歯は歯の質が柔らかいので、むし歯の進行が早く、気づいた時には大きなむし歯になっていることがあります。むし歯が進行すると、痛みが出て様々な影響が出ます。乳歯のむし歯は食生活に左右され、2歳から4歳頃までが特になりやすいので、早い時期から規則正しい生活習慣を身につけることが大切です。
乳歯のむし歯の影響
- 痛みが出る
- 永久歯の発育を妨げる
- 歯ならびが悪くなる
- あごが十分に発達しない
- 噛みにくくなり、固いものを避けたり偏食になりやすい など
むし歯はどうしてできるの?
口の中のむし歯菌(ミュータンス菌)が、砂糖などの食べかすから歯垢(プラーク)を作り出します。
歯垢には歯を溶かすはたらきがあるため、歯みがきが不十分で歯垢が残った状態が長く続くと、むし歯ができます。
「歯」、「糖分」、「むし歯菌」、「時間」の4つの条件が重なるとむし歯ができます。
CO(シーオー)って何?
むし歯の一歩手前の状態をCOといいます。表面はツルツルしていても、色は白く濁っています。表面が溶けはじめてザラザラしてきたら、むし歯のはじまりです。しかし、COの状態は適切な歯みがき、食生活の改善、フッ化物の利用でむし歯への進行を止めることが可能です。そのため、むし歯予防ためには症状がなくても定期的な健診でお口の中をチェックしてもらい、早期にCOを見つけてもらうことが重要です。
指しゃぶり・おしゃぶりについて
0歳から1歳くらいの指しゃぶりは生理的なものなのでほとんど問題はありませんが、それ以降も指にタコができるほど強い力で吸ったり、吸っている時間が長いと歯ならびに影響が出る場合があります。おしゃぶりも鼻呼吸を促すという良い面もありますが、指しゃぶりと同様に影響が出る場合があります。3歳くらいまでにやめられると、悪くなった歯ならびが自然に改善する可能性もあるため、早めに外せるようにしましょう。
指しゃぶり・おしゃぶりをやめさせるヒント
怒って無理にやめさせるのは逆効果です
- 日中は体をよく動かして興味を他へそらす
- 指、おしゃぶりが口に入っていないときに褒める
- 寝るときは手を握ったり、本を読んであげる
- 寝てからも吸っていたら、そっと外す
- 物事の善悪が分かってきたら、なぜいけないのかを話す
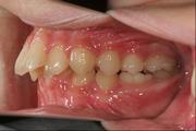
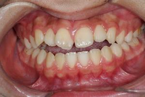
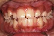
指しゃぶり・おしゃぶりなどの影響による不正咬合
上の歯、上あごが前に出ているかみ合わせ
奥歯がかんでいても上下の前歯が開いているかみ合わせ
その他の不正咬合
下の歯、あごが前に出ている
歯ならびがガタガタしている(乱杭歯)
矯正治療を始める時期は状態によって違うので、気になる場合は小児歯科・矯正歯科に相談しましょう
フッ化物でむし歯予防
むし歯予防のひとつにフッ化物の利用があります。フッ化物を定期的に取り込むことにより、歯の質を強くします。特に生えはじめの歯やむし歯になりそうな歯(CO)には効果的です。
フッ化物(フッ素)ってなに?
海水、河川、土の中など、地球上に多く広く存在している自然のものです。人体中には歯や骨に多く含まれています。フッ化物を多く含む食品には、魚介類・海藻類・緑茶などがあります。しかし、飲食物に含まれるフッ化物の濃度はとても低いため、家庭や学校での歯みがき剤や洗口液の使用、歯科医院でのフッ化物塗布が効果的です。
フッ化物のはたらき
- フッ化物が歯に取り込まれ、歯の質が強くなる
- むし歯の原因となる酸を細菌に作らせない
- 歯の再石灰化(一度溶けかかった歯の表面が元の状態に戻ること)をうながす
フッ化物の利用方法
- 歯科医院でフッ化物塗布
- フッ化物を歯に直接塗る。3から4か月ごとに塗ることで効果が維持できる。
- 家庭・学校などでフッ化物洗口
- フッ化物の入った液でブクブクうがいをする。毎日法と週1回法があり、うがいができるようになってから実施できる。
- 家庭でフッ化物入り歯みがき剤等の使用
- 歯をみがく時にフッ化物入り歯みがき剤を使う。歯をみがいた後にフッ化物入りジェル・スプレーを使う。
フッ化物使用時の注意事項
- フッ化物は容量・用法を守って使用する
- フッ化物利用後30分くらいは効果を妨げないために、うがい・飲食を控える
間食(おやつ)の工夫
幼児期の間食は、大人と同じようなお菓子である必要はありません。幼児では一度にたくさんの量が食べられないので、1日に4から5回に分けて食事をします。つまり、補食と考えエネルギーになりやすいものを選ぶとよいでしょう。
間食の内容としては、砂糖の入った甘いおやつや飲み物はなるべく与えないようにし、果物や野菜などの自然の甘味のもの、お茶・水・牛乳を中心に与えましょう。
間食の回数は1日2回までとし、1回15分くらいをめどにし、だらだら食べをさせないようにしましょう。
食事(おやつ)と時間の関係
食べたり飲んだりするたびに歯の表面は溶け出し(脱灰)、だ液によって元に戻ること(再石灰化)が口の中では繰り返されています。少ない量でもあまり時間をあけずにちょこちょこと食べたり飲んだりするとむし歯のリスクは高くなります。むし歯予防には食事と食事(間食)の間の時間をしっかりとあけることが重要です。
また、寝ている間はだ液の出る量が減り、再石灰化がされにくいため、寝る前に飲食すると寝ている間ずっと歯は脱灰している状態です。飲食は寝る2時間前までに済ませるようにしましょう。
キシリトールでむし歯予防
キシリトールは、白樺などの原料から作られる天然素材の甘味料で、野菜や果物などにも含まれています。甘さとカロリーは砂糖と同じくらいですが、むし歯の原因となる酸をつくらせないので、砂糖の代わりに摂取するとむし歯予防になります。
キシリトールの効果
- 口の中のミュータンス菌を減らす
- だ液がたくさんでて、再石灰化をたすける
- 歯垢(プラーク)を歯みがきで落としやすくする
キシリトール製品について

キシリトールキシリトールはガムやアメ、タブレットに使われていることが多く、気軽に摂取することができます。製品に含まれる総甘味料のうちキシリトールが50%以上でないと、効果が期待できません。「特定保健用食品」「歯に信頼マーク」が使われているものを選びましょう。
なお、キシリトールは一度にたくさんの量を食べるとおなかをこわすことがあります。1日摂取目安量を守って使用しましょう。
だ液のはたらきを知ろう
- 食べ物を飲み込みやすくする
- 歯の表面の汚れ(食べかすなど)を洗い流す
- 食べ物の消化を助ける
- 食べ物を溶かして味を感じさせる(食欲増進)
- 口の中に潤いを与え、しゃべりやすくする
- 酸を中和して口の中の環境を整える
- だ液に含まれるカルシウム・リン酸・フッ素イオンが再石灰化を促す
- だ液に含まれるリゾチーム(抗菌物質)により細菌の増進を抑える
むし歯や歯周病は夜寝ている間につくられます。寝ている間は、だ液の出る量が少なくなり、細菌が増えるからです。夜寝るの歯みがきを丁寧にしましょう
よく噛んで食べよう
3歳前後で乳歯20本が生えそろい、しっかりと噛んで食事ができるようになります。よく噛むことにより、あごの筋肉も発達し、きれいな歯ならびを作ります。また、よく噛むとだ液もたくさん出て、次のようないい効果があります。
噛む8大効果【ひみこの歯がいーぜ】
- (ひ)肥満を防止する
- (み)味覚が発達する
- (こ)言葉がはっきりする
- (の)脳が発達する
- (は)歯の病気の予防
- (が)がんの予防
- (い)胃腸のはたらきをよくする
- (ぜ)全力投球
よく噛むためのヒント
- やわらかいものでもたくさん噛むことを意識する
- 日中は身体をよく動かし、お腹を空かせる
- 食事中はテレビを消し、おもちゃを片付け、食事に集中できる環境を整える
- 足裏が床(足台)に着くように椅子などの高さを調節する
- 手づかみ食べで、前歯でかじり取って食べさせ、ひと口の適量を学ばせる
- お茶や水で流し込んで食べる癖がつかないように、お茶や水は食後に飲ませる
よく噛めるお口を育てる遊び
- 水を入れたコップをストローでぶくぶくする
- 風船を膨らませる
- ラッパや笛を吹く
- シャボン玉
- 大きな口で歌をうたう
- 吹き戻し
年齢に配慮し、かみかみ食品を上手に取り入れましょう
噛む回数を増やすための食材として小魚、昆布、フランスパン、するめ、せんべい、きゅうり、小松菜、ごぼう、りんご、なし、たこ、かまぼこ、こんにゃく、もち、ピーナッツなどがあります。窒息に注意したうえで、かみかみ食品を取り入れ噛む回数を増やしましょう。
6歳臼歯が生えてきたら
6歳頃に乳歯の一番奥に生えてくる大人の歯(上下各2本)を6歳臼歯といいます。6歳臼歯は永久歯なので乳歯のように生え変わることはなく、一生使う歯です。かみ合わせや歯ならびの基準になる大切な歯なので、むし歯にしないようにしましょう。しかし、生え始めの6歳臼歯はやわらかく、歯の溝も複雑で、歯ブラシが届きにくいため、むし歯になりやすいです。
6歳臼歯のみがき方
歯ブラシを顔の正面からでなく、横から入れるとみがきやすくなります。
仕上げみがきは本人が上手にみがけるようになるまでは続けましょう。永久歯が生えそろう12歳頃までが目安です。
シーラントで6歳臼歯を守ろう
シーラントとは、むし歯になりやすい奥歯の溝をプラスチックで埋めてしまう予防処置です。シーラントは永久的なものではなく、取れてしまうこともあります。取れたままにしておくとむし歯になりやすいので、歯科医院で定期的にチェックをしてもらいましょう。
PDFファイルをご覧いただくには、「Adobe Acrobat Reader」が必要です。お持ちでない方はアドビ社のサイト(新しいウィンドウ)からダウンロード(無料)してください。
より良いウェブサイトにするために、ページのご感想をお聞かせください。
このページに関するお問い合わせ
保健部 健康増進課 歯科・栄養係
〒444-8545 岡崎市若宮町2丁目1番地1(岡崎げんき館2階)
電話:0564-23-6962 ファクス:0564-23-5071
保健部 健康増進課 歯科・栄養係へのお問い合わせは専用のフォームをご利用ください